Diagnosis & Treatments

How is Abdominal Aortic Aneurysm diagnosed?

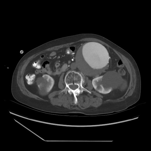
Diagnosis of Abdominal Aortic Aneurysm

(AAA) diagnosis CT.jpg

 

The aneurysm is typically diagnosed when the diameter exceeds 3 centimeters or is more than 50% larger than the normal aorta. Diagnosis is primarily done through imaging techniques like ultrasound, CT scan, or MRI, especially during screening for high-risk groups.

Diagnosis & Treatments

How is Abdominal Aortic Aneurysm treated?

Treatments for Abdominal Aortic Aneurysm

Open surgical repair for abdominal aortic aneurysm involves a long abdominal incision to directly access the aorta. The damaged section of the aneurysm is removed, and a synthetic graft is sewn in the weakened segment. This traditional approach provides a durable repair but requires longer recovery time and has higher initial surgical risk.

Endovascular aneurysm repair (EVAR) is a minimally invasive procedure where a vascular surgeon inserts a catheter through the blood vessels in the groin to position a stent-graft inside the aneurysm. The stent-graft reinforces the weakened aortic wall and prevents rupture. EVAR generally results in shorter hospital stays, faster recovery, and less immediate risk, but may require ongoing imaging follow-up to monitor the graft’s position and integrity.