Diagnosis of Intestinal lymphangiectasia

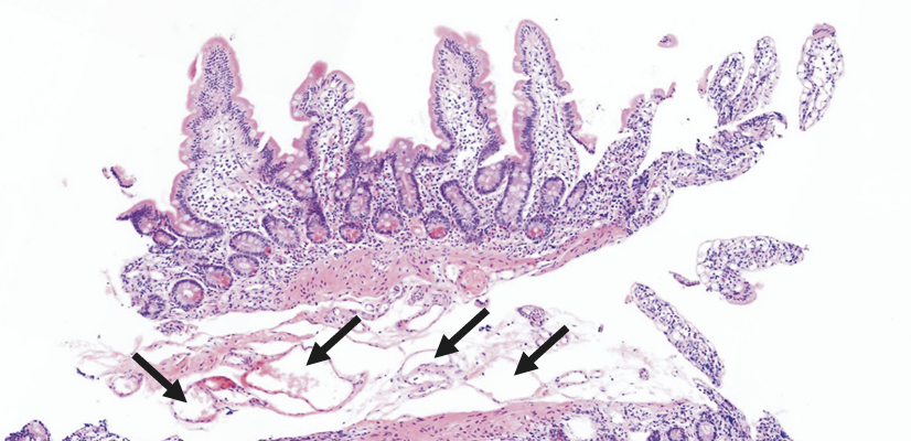
Endoscopy is the confirmative diagnostic approach for intestinal lymphangiectasia. Pathology of the affected mucosa demonstrates multiple dilated lacteals.

Endoscopy is the confirmative diagnostic approach for intestinal lymphangiectasia. Pathology of the affected mucosa demonstrates multiple dilated lacteals.
Basic dietary modification is the mainstay of treatment for primary intestinal lymphangiectasia. An effective treatment strategy entails diagnostic evaluation of the extent of abnormal lymphatic lesions. Based on the extent of the disease, surgery, interventional procedures, or oral pharmacologic therapy may be selected as treatment options under the clinical judgment of the medical team.