뇌종양은 두개골 내에 비정상적으로 생기는 종양을 말합니다. 뇌종양은 다른 원인을 가지고 있고 원인에 따라 원발성, 전이성(이차성) 뇌종양으로 구분됩니다. 원발성 뇌종양은 뇌와 그것을 둘러싼 구조물 내의 세포로부터 시작됩니다. 전이성(이차성) 뇌종양은 몸의 다른 부분(예를 들어, 폐, 신장, 유방, 피부)으로부터 암 세포들이 뇌로 퍼졌을 때 발생합니다.
원발성 뇌종양은 많은 형태들이 있습니다. 시작된 세포에 따라 종양의 형태가 나뉩니다. 예를 들어, 성상세포종은 성상세포로부터 발생합니다. 뇌에서 가장 흔한 세포 형태인 성상세포는 뉴런(신경 세포)을 지지하는 역할을 합니다. 또한 뇌종양은 현미경 하에서 보이는 형태에 따라 등급이 매겨집니다. 등급 체계는 종양이 시간에 따라 어떻게 반응하는지를 예견하기 위해 만들어졌습니다. 등급이 낮은 종양은 더 천천히 자라고 등급이 높은 종양은 더 공격적입니다. 등급 체계는 치료를 선택할 때도 유용합니다.
뇌종양은 저 등급 또는 "양성"(천천히 자라는 것), 공격적인 "악성"(빠르게 자라는 것)으로 불립니다. 이 구분이 유용하지만, 장기간 결과를 예견할 때 항상 정확한 것은 아닙니다. 예를 들어, 많은 양성 종양이 수술과 때로는 방사선으로 치료될 수 있습니다. 그러나, 어떤 종양은 그 위치와 주변 혈관이나 신경에의 침범 때문에, 심각한 손상 없이 적절히 치료될 수 없습니다. 따라서, 종양은 이전 상태로 자랄 것이고 "양성"으로 생각될 수 없습니다. 뇌 바깥의 암(예를 들어, 폐, 유방, 흑색종)으로부터의 전이성 뇌종양은 전신적이고 모든 뇌종양의 반 이상을 차지합니다. 원발성 뇌종양은 중추신경계 밖으로 거의 퍼지지 않습니다.
다음은 흔히 발생하는 뇌종양의 몇 가지를 간단히 살펴보겠습니다.
수막종
수막종은 축외 뇌종양 중 가장 발생빈도가 높아 원발 뇌종양의 15-20%를 차지하며 수술만으로 완치될 가능성이 매우 높은 양성 종양입니다. 이 종양은 뇌를 지지하는 뇌막인 수막(meninges)의 구성 성분인 지주막 세포에서 기원하여 수막종이라 불려 왔습니다. 이 종양은 지주막 세포가 분포한 곳에서는 어디서나 발생하나 이들 세포의 밀도가 높은 시상 정맥동 주변, 대뇌 궁륭부, 뇌 바닥, 후두개와 등에서 자주 발생합니다. 발생부위에 따라 압박 받는 주변 뇌조직의 구조물이 다르므로 나타나는 증상이 다양합니다. 종양 자체는 단단하고 혈관분포가 풍부한 것이 특징이며 연령이 증가함에 따라 발생 빈도도 증가하고 성장속도는 매우 느려서 종양이 진단될 때에는 이미 상당한 크기에 달한 경우와 우연하게 촬영한 뇌 촬영에서 발견되는 경우도 드물지 않습니다. 인구 10만 명당 약 2.3명 정도로 뇌 교종 다음으로 흔하며 호발 연령은 45세 전후이며 여자가 남자보다 2배 정도 많은 것으로 알려져 있습니다.
뇌하수체 선종
뇌하수체 선종은 전체 두개강 내 종양의 10-15%을 차지합니다. 최근 MRI, CT, 혈중 호르몬 검사 등의 진단 방법이 용이해져 직경 1mm 미만의 미세선종도 정확하게 진단 가능하며 치료 부분에서도 약물 요법, 수술 요법, 방사선 수술 등의 발달로 치료 성적이 괄목할 만큼 향상되었습니다. 선종은 크기에 따라 10mm 미만 미세선종, 10mm 이상 대선종, 40mm 이상 거대선종으로 분류됩니다.
청신경 초종
청신경 초종은 전정 신경을 둘러싸고 있는 세포에서 기원한 양성 종양입니다. 종양은 초기에는 내이도에서 발견되는 경우가 많으며 종양이 커지면서 내이도가 확장되고 여러 방향으로 자라 주위 뇌신경, 뇌간, 소뇌를 압박하고 변위 시킵니다. 30세 이후의 성인에서 주로 발생하며 여성이 남성에 비해 2배 가량 발생률이 높고 20세 미만의 젊은 연령층에서 발생하는 경우 대부분 양측성인 제 2형의 신경 섬유종증 이라 할 수 있습니다.
신경교종
신경교종은 신경원, 신경교세포(성상세포, 핍지교세포 및 상의세포)에서 기원하며 반 이상이 악성이고, 양성인 분화형 신경교종도 시간이 경과하면 악성화 되는 경향이 있습니다. 뇌 교종의 대부분은 주위 정상 조직 내로 침투하여 자라고, 세포의 성장 제어가 소실되어 빠른 성장을 보이며, 수술로 완전히 제거하는 것이 힘들어 수술, 방사선 치료, 항암화학치료 등의 적극적인 치료에도 불구하고 대부분의 예에서 단시간 내에 재발하여 예후가 나쁘며, 매년 신경교종으로 사망하는 예와 새로이 신경교종이 진단되는 수가 거의 비슷하다고 합니다.
뇌의 해부학적 이해
뇌는 부드럽고 스폰지 같은 조직 덩어리입니다. 두개골의 뼈와 수막으로 불리는 세 개의 얇은 막에 의해 보호되고 있습니다. 뇌척수액이라고 하는 물 같은 액체가 뇌의 쿠션 역할을 합니다. 이 액체는 수막 사이의 공간과 뇌실이라고 하는 뇌 내의 공간을 통해 흐릅니다.
신경 망이 뇌와 몸의 다른 부분 사이에 메세지를 전합니다. 어떤 신경은 뇌에서 눈, 귀, 머리의 어느 부분으로 직접 갑니다. 또 다른 신경은 척수를 통해 뇌와 몸의 다른 부분을 연결합니다.
뇌의 행하고자 의도하는 것(걷고 말하기 등)과 의도 없이 행하는 것(숨쉬기 등)들을 지시합니다. 또한 감각(보고 듣고 느끼고 맛보고 냄새 맡기), 기억, 정서, 인격을 담당합니다.
뇌의 세가지 주요한 부분은 다른 활동을 지배합니다.
대뇌
대뇌는 뇌의 가장 큰 부분으로 뇌의 꼭대기에 있습니다. 우리의 감각으로부터의 정보를 사용하여 우리 주위에 무슨 일이 일어나는 지와 우리의 몸이 어떻게 반응하는지를 알려 줍니다. 읽기, 사고, 학습, 언어, 정서를 지배합니다. 대뇌는 좌우 대뇌 반구를 나뉘어져 분리된 활동을 지배하는데, 우측 반구는 몸의 좌측에 있는 근육을, 좌측 반구는 몸의 우측에 있는 근육을 지배합니다.
소뇌
소뇌는 뇌의 뒤쪽, 대뇌 아래에 있습니다. 소뇌는 균형과 걷기와 말하기와 같은 복잡한 행동을 지배합니다.
뇌간
뇌간은 뇌를 척수와 연결합니다. 배고픔과 갈증, 그리고 호흡, 체온, 혈압과 같은 기본적인 몸의 기능을 지배합니다.
뇌종양 발생기전, 위험요인
뇌종양의 정확한 원인은 아무도 모릅니다. 어떤 환자는 뇌종양이 발생하고 다른 사람들은 발생하지 않는 이유를 설명할 수 없습니다. 그러나, 뇌종양이 전염성이 아니라는 것은 명백합니다.
몇 가지 위험 요소를 가진 사람들이 다른 사람들보다 뇌종양이 더 발생된다는 연구가 있습니다. 위험 요소란 질환의 발생 가능성을 증가시키는 어떤 것을 말합니다.
다음의 위험 요소가 원발성 뇌종양이 발생될 가능성 증가와 관련이 있습니다.
- 남성 일반적으로 뇌종양은 여자보다 남자에게서 더 흔합니다. 그러나, 수막종은 여자에게서 더 흔합니다.
- · 인종 - 뇌종양은 다른 인종의 사람들 사이에서보다 백인 사이에 더 자주 발생합니다.
- · 나이 - 대부분의 뇌종양은 70세 또는 그 이상의 사람들에게서 발견됩니다. 그러나, 소아에게서 두 번째로 흔합니다.
(백혈병이 가장 흔한 소아 암입니다.) 뇌종양은 8세 이하의 소아에게서 더 흔합니다. - · 가족력 - 신경교종을 가진 가족 원이 있는 사람들이 이 질환이 발생될 가능성이 더 많을 수 있습니다.
- · 근무시 방사선이나 어떤 화학물질에 노출되는 것
- - 방사선 - 핵 산업에 있는 작업자들은 뇌종양이 발생될 위험이 증가되어 있습니다.
- - 포름알데히드 - 포름알데히드로 작업하는 병리학자와 방부 처리사는 뇌종양이 발생될 위험이 증가되어 있습니다.
그러나, 포름알데히드에 노출되는 다른 형태의 작업자들 사이에서는 뇌종양의 위험이 증가되어 있다는 것을 밝히지 못했습니다. - - 염화 비닐 - 플라스틱을 만드는 작업자들은 염화비닐에 노출되어 있습니다. 이 화학 물질은 뇌종양의 위험을 증가시킬 수 있습니다.
- - 아크릴로니트릴 - 직물과 플라스틱을 만드는 사람은 아크릴로니트릴에 노출될 수 있습니다. 이러한 노출은 뇌암의 위험을 증가시킬 수 있습니다.
- · 휴대폰이 뇌종양을 유발할 지도 모른다고 연구 중에 있으나, 휴대폰을 사용하는 사람들 사이에 뇌종양의 위험이 증가되어 있다는 것을 밝히지 못했습니다. 또한 두부 손상이 뇌종양의 위험 요소인지 연구 중에 있으나, 지금까지 두부 손상을 받은 사람들 사이에 위험이 증가되어 있다고 밝히지 못했습니다.
뇌종양의 증상

- 전두엽 : 판단, 감정 등 한단계 높은 차원의 인지적 기능과 운동 능력을 담당합니다. 이 부위에 생긴 종양은 성격변화, 정동장애, 편 마비, 보행 장애, 운동력 저하 등을 유발합니다.
- 두정엽 : 감각, 지각, 언어력을 담당하는 부위로 이 부위의 종양은 빛, 감각, 압력에 대한 인지력을 떨어뜨립니다. 다른 증상으로는 좌우 구별의 손상, 시공간 파악능력의 손상을 가져오기도 합니다.
- 후두엽 : 시야를 담당하며, 이 부위의 종양은 부분 또는 완전 시야결손을 유발합니다.
- 측두엽 : 언어, 청각, 감정변화 등을 담당하며, 이 부위의 종양은 공격적인 행동, 언어표현의 어려움, 기억장애를 유발합니다.
- 뇌 간 : 안구운동, 운동마비, 감각마비 같은 뇌신경증후군을 일으킵니다. 덧붙여 심장박동, 호흡, 혈관운동 기능에도 관여합니다.
- 소 뇌 : 운동조정을 담당하는 데, 이 부위에 생긴 종양은 오심, 구토, 균형감각 소실, 복시, 보행장애, 미세한 운동장애 등을 유발합니다.
뇌종양 발생률
1995년도 미국의 통계에 의하면 원발성 뇌종양은 인구 10만 명당 10.9명 꼴로 연간 2만 8천 5백명이 발생하며, 뇌 전이 암은 8만 명 이상이 진단되었습니다. 우리나라의 통계로는 중앙 암 등록본부의 뇌종양 등록자료를 보면, 원발성 뇌종양은 인구 10만명당 3.1명이 발생하는 것으로 보고 되었으나 자료의 누락이 많아서 실제 발생 환자수는 원발성 뇌종양이 연간 4,000명 정도이고, 전이성 뇌종양까지 합치면 한 해 1만 명 정도의 뇌종양 환자가 우리나라에서 발생하는 것으로 되어 있습니다.
뇌종양의 진단
단순방사선촬영만으로는 두개골 뒤에 숨어있는 뇌종양을 발견 할 수 없기 때문에 뇌종양의 영상진단에는 여러가지 다른 영상검사가 필요합니다. 그 중 가장 널리 이용되는 것이 전산화단층촬영(CT)과 자기공명영상(MRI)검사입니다. 그 외에도 경우에 따라서 혈관조영검사를 시행하기도 합니다. 전산화단층촬영 및 자기공명영상검사는 뇌종양의 초기 진단 뿐만 아니라 치료 후의 치료효과 평가와 재발 유무를 판별하기 위한 추적 검사로 뇌종양의 진단과 치료과정에서 필수적인 검사입니다.
전산화단층촬영(CT)
전산화단층촬영장치는 방사선장비와 합쳐 놓은 기계입니다. 촬영 전에 특수한 조영제를 정맥을 통해서 주입하기도 합니다. 이는 종양이 더 잘보이도록 해줍니다. 환자는 커다란 원통모양의 기계 중앙에 설치된 침대에 누워 검사를 받습니다. 환자가 움직이지 않고 누워 있는 동안 원통모양의 기계가 머리주위를 돌면서 방사선을 조사하면 조직의 종류에 따라 방사선의 흡수량이 차이를 보이고 이를 검출기로 받아들여 컴퓨터를 이용하여 이차원 영상으로 구성하게 됩니다. 즉 조직에 따른 방사선 흡수량의 차이를 흑백음영으로 나타낸 사진으로 보여줍니다.
전산화단층촬영은 자기공명영상검사 보다 촬영시간이 짧고, 두개골의 변화와 종양내의 석회화를 관찰하는데 유리합니다. 또 체내에 금속(심장 박동기, 금속파편 등)이 있는 경우나 폐쇠 공포증 환자와 같이 자기공명영상검사를 할 수 없는 경우에도 이용할 수 있습니다. 그러나 조직간의 음영차이가 자기공명영상검사에 비해 적고 이차원 영상만을 제공하는 단점이 있습니다.
자기공명영상검사(MRI)
자기공명영상검사는 전산화단층촬영과는 달리 방사선을 이용하지 않는 검사입니다. 자기공명영상장치는 터널처럼 생긴 통으로 이루어져 있으며 이 통안에는 강력한 자기장이 흐르고 있어서 검사 시에 환자가 통 안에 들어가서 누우면 환자의 머리 주위로 자기장이 둘러싸게 되고 여기에 고주파를 가하여 체내의 수소원자가 이 고주파의 에너지를 흡수한 후 배열 방향을 바꾼 후 다시 제자리로 돌아옵니다. 조직에 따라서 수소원자의 양과 상태에 따라서 서로 다른 변화를 보이는데 이러한 차이를 흑백음영으로 나타낸 사진으로 보여줍니다. 이러한 음영의 차이를 신호강도라고 합니다. 자기공명영상검사에서의 신호강도는 조직간의 차이를 잘 나타내기 때문에 전산화 단층촬영 보다 뇌종양의 진단에 우수합니다. 또한 여러 가지 방향으로 단면을 구성 할 수 있기 때문에 종양의 범위평가 및 종양 주위의 구조물과의 관계를 평가하는데 유리합니다.
자기공명영상검사에서도 역시 특수한 조영제를 사용할 수 있는데 이 조영제는 전산화단층촬영에서 사용하는 요오드 제제와는 다르며 조영제를 사용함으로써 종양의 발견과 악성도 평가에 도움을 주기 때문에 뇌종양의 자기공명영상검사에서는 반드시 조영제의 사용이 필요합니다.
자기공명영상 장치를 이용한 검사는 앞서 설명한 뇌의 형태를 보는 검사 이외에도 뇌종양의 대사산물을 통해서 악성도를 평가하는 자기공명분광검사와 뇌종양의 혈류정도를 검사하는 관류영상기법과 뇌종양과 뇌 피질의 주요부위와의 관계를 알아보는 기능적 영상기법 등이 뇌종양의 진단과 치료계획 수립에 이용됩니다.
혈관조영술
혈관조영술은 동맥 내에 조영제를 직접 주입한 후 엑스레이가 뇌혈관내의 조영제의 흐름을 따라가면서 영상화 합니다. 환자가 테이블에 누운 상태에서 대퇴동맥에 가는 관을 삽입하여 이 관을 통해서 조영제를 주입하면서 여러 장의 사진을 연속적으로 촬영하는 검사로 수술 전단계에서는 뇌종양에 분포하는 혈관의 정도와 뇌종양과 주위 뇌혈관과의 관계를 확인하기 위해서 뇌혈관조영술을 시행하기도 합니다. 뇌종양 내의 혈관 분포가 심한 경우는 수술 중 출혈을 줄이기 위해서 수술 전 뇌종양혈관 색전술을 시행하여 뇌종양혈관을 막는 경우도 있습니다.
이외에도 양전자를 방출하는 방사성 의약품을 정맥주사 또는 흡입하여 방사성 동위원소가 신체내부의 분자에 표지로서 부착되어 동위원소에서 나오는 감마선으로 분자의 위치를 추적하여 분포를 영상화 하는 PET(양전자 방출 단층촬영)가 개발되어 진단에 이용되고 있습니다.
뇌종양의 병기 분류
뇌종양은 일반적으로 병기 구분을 하지 않습니다. 또한 중추신경계 외부로 전이되는 경우는 극히 드물고, 다른 암과는 달리 병기 구분이 단순합니다.
국소질환 단계
뇌의 일부분에서 발생하여 주변으로 퍼지지 않은 상태를 말합니다.
중추신경계 질환 단계
뇌의 일부분에서 발생하여 주변으로 퍼진 상태로 천막상부와 하부사이, 좌 반구와 우 반구 사이, 주변 뇌막이나 두개골로 침투된 상태를 말합니다.
원격전이 단계
뇌종양이 뇌척수액을 따라 전체 중추신경계에 파종이 되거나, 골수, 폐, 간 등 원격장기에 전이된 상태를 말합니다.
뇌종양에 대한 수술적 치료
영상과 수술 기법의 발전
영상기기의 발전은 일부 경험이 많은 대가만의 전유물이었던 수술수기를 미세현미경에 부착된 비디오 카메라를 통하여 전세계 신경외과 의사들에게 소개되어 수술의 기법을 공유할 수 있게 되었습니다. 초 정밀 반도체를 생산하는 작업을 연상시키는 미세현미경 수술 뿐 아니라 우주 비행선이 우주 정차장에 정착하듯이 컴퓨터를 이용하여 뇌 속 싶은 곳까지 단 1mm의 오차도 용납하지 않는 정교한 위치 지정, 해저 탐사를 하듯 내시경을 통해 뇌 속을 탐험하며 수술하는 방법, 땅속을 깊은 터널에서 목적지에 도달하듯 혈관을 따라가 뇌의 한복판에서 시행하는 혈관 수술 등이 뇌수술의 현주소가 되었습니다.
최근 수년간 최소한의 공간만을 통해 오차 없이 병변에 도달하고, 그 공간에서 실수 없이 수술을 완수할 수 있도록 하는 첨단의 영상유도장치와 날로 소형화 되는 내시경 및 수술도구, 다양한 감시장치가 개발되고 바로 수술에 응용되어 뇌수술의 성과는 걸프전처럼 과학과 첨단 장비의 투자에 결정된다고 할 만큼 첨단 과학에 의존하게 되었습니다. 물론 수술을 결정하고 예후를 판단하며, 어떤 방법을 이용하여 수술할 것 인가는 의사의 몫이고 수술에 가장 핵심이 되는 것은 두말할 나위가 없습니다. 하지만 꼭 필요한, 최소한의 부위만을 절개하여 실수 없이 수술하고 주변의 정상 조직의 손상을 최소화하는 데는 한계가 있습니다. 이 한계를 첨단 과학 장비들이 보완해 주고 있는 것입니다.
최소 침습적 뇌수술(Minimally invasive surgery)
한 환자의 수술을 위해 수백억원 이상의 장비가 한꺼번에 동원된다면 과연 믿을 수 있을까요? 수술이 준비되는 이른 아침 본 병원 신경외과 수술 방엔 크고 작은 복잡한 기계들이 들어오고 나갑니다. 우선 수술 전날 머리에 여러 개의 표식자를 붙이고 찍은 뇌사진이(MRI:자기공명영상) 컴퓨터 화면에 보입니다.
특수 감지 장치를 환자의 머리에 대면 그때마다 그 위치가 실시간으로 컴퓨터 화면에 영상화 됩니다(Viewing Wand). 종양과 가장 가깝고 뇌기능 손상이 적은 곳을 정하여 두피를 절개하고 최소한의 골편만을 제거한 뒤 원하는 위치에 도달합니다. 이때 수술용 초음파 기계를 이용하여 다시 한번 위치를 확인하고, 전기생리학적 감시 장치를 이용하여 과연 신경기능의 손상이 없는지 확인하고 뇌 속으로 들어갑니다.
그리고 접근 중에 뇌신경에 손상이 감지되면 경고음이 울리게 됩니다. 하지만 그런 일은 많지 않습니다. 종양에 접근하는 중에도 현재 작업하고 있는 곳이 컴퓨터 화면에 표시되고 있기 때문에 방향을 잃고 다른 부위로 갈 확률은 적기 때문입니다. 종양에 도달하면 종양을 제거하기 위한 기계들이 수술장내로 들어옵니다. 레이저, 초음파 쇄석 흡입기 등 정상 조직을 최대한으로 보호하고 빠른 시간 내에 종양을 제거할 수 있게 해주는 기계입니다. 종양이 제거되면 실시간으로 컴퓨터 화면에서도 종양이 제거되는 것을 확인할 수 있어 주위 정상 뇌조직이 얼마나 가까이 와 있는지 확인이 가능합니다.
경혈관 수술법
주요 혈관 주변부에서 작업할 때는 수술실에 미리 준비된 뇌혈관 조영기가 들어오고 혈관 수술을 하는 경우에는 그 자리에서 혈관 및 혈류의 이상을 바로 확인할 수 있어 신속한 조치를 취할 수 있습니다. 걷잡을 수 없는 출혈이 종종 수술을 위험한 상황으로 몰고 가 생명까지 위태롭게 하는 경우가 있으나 이 수술장내 혈관 조영기를 이용하면 잠시 혈류를 차단하고 응급 조치를 취할 수 있도록 해줄 뿐 아니라 수술 중 혈류장애를 즉각 판단할 수 있어 수술의 합병증을 최소화할 수 있습니다.
내시경을 이용한 수술법
뇌하수체 종양이나 뇌실의 종양처럼 아주 적은 공간을 통해 수술할 때는 360도 회전하며 좁은 공간 구석구석을 확인할 수 있는 내시경을 이용하여 뇌종양을 제거합니다. 또 종양이 모두 제거되었는지 영상감지 장치에서 확인할 수 있어 제거 가능한 잔류 종양을 최소화할 수 있게 해줍니다. 종래의 수술적 방법을 이용한다면 환자에게 치명적인 합병증을 감수하며 두개골 및 뇌의 광범위한 부분을 절개하고 수술하여야 하지만 더이상 그렇게 할 필요성이 없어지게 된 셈입니다.
방사선 수술
종양의 완전 적출이 치명적인 합병증이 예상되면 최대한 안전한 부분까지 종양을 제거하고 수술 후 방사선 수술을 시행합니다. 여러 종류 즉 CT, MRI, 그리고 혈관 조영술 등의 영상을 컴퓨터로 좌표화하고 필요에 따라 각 이미지를 컴퓨터 합성해(imagefusion)보다 정교한 방사선 수술을 시행하여 그 합병증을 최소화합니다.
영상 보조 장치
최근 진보된 3차원 영상 합성기술이 뇌수술의 치명적인 합병증에서의 해방을 위해 적용되고 있습니다. 수술 현미경에 미리 합성한 3차원 영상의 이미지가 입력되어 일일이 뇌를 들추어보지 않아도 뇌 심부까지 볼 수 있는 방법이나, MRI로 실시간 뇌의 변화를 확인하면서 수술하는 방법 등이 개발되어 현재 외국 일부 병원에서 사용 중에 있습니다. 이는 아직까지는 고가의 장비여서 도입이 되지 않고 있으나 조만간 많은 병원에서 상용화될 전망입니다.
뇌 기저 수술기법의 발전
뇌 심부의 두개골 기저부의 수술은 복잡한 골 구조로 인하여 접근이 용이하지 않습니다. 그러나 사체를 이용한 접근방법의 개발, 다양한 전기 감시 장치, 영상 유도 뇌수술을 통하여 수술의 제약을 극복하고 있습니다. 그러나 광범위한 두개골 성형이 요구되고, 다양한 합병증이 유발될 가능성이 많은 수술인 만큼 환자의 삶의 질에 중점을 두어 수술을 고려해 수술을 결정하고 있으며, 손상된 뇌신경은 미세 재건술을 통하여 그 기능을 유지시키는 고난도 수술을 시행하고 있습니다.
뇌종양에 대한 항암화학요법
뇌종양은 그 종류나, 위치, 병기 그리고 환자의 전신 상태에 따라 다양한 치료법이 사용되고 있으며 국소적인 방법인 수술과 방사선 치료, 전신 요법인 항암화학요법(항암제), 면역 치료 등이 사용되고 있습니다.
뇌가 가지는 구조적 해부학적 특징으로 인해 뇌종양의 항암화학요법에 있어서 특이한 점은 일반적인 암(예를 들어 폐암, 위암, 대장암 등)의 치료와 달리 혈관-뇌 장벽(Blood-brain barrier)을 쉽게 통과하는 약물을 사용해야 하며 그렇지 못한 경우에 있어서는 뇌 척수액 내로 국소 항암제를 투여하여 사용하여야 한다는 것입니다. 뇌종양에 있어서 항암제의 사용은 수술이나 방사선 치료와 같이 동반해서 사용될 수 있고, 드물지만 중추신경계에 생긴 림프중(CNS lymphoma)이나 생식세포종(Germ celltumor)의 경우는 항암제에 민감하게 반응하여 단독으로도 높은 치료 효과와 완치를 기대할 수 있습니다.
뇌종양은 뇌에서 처음 생긴 원발성 뇌종양과 다른 부위에서 생겨 뇌로 전이가 된 전이성(이차성)뇌종양으로 나눌 수 있습니다. 전이성 뇌 병변의 경우, 종양의 조직 소견은 원발 부위의 성상을 나타내지만 증상은 원발성 뇌종양과 같이 두통, 오심, 근력 약화 및 인지기능 저하의 증상이 그대로 나타날 수 있습니다. 그러므로 치료에 있어서도 뇌의 압력증가를 막고 종양의 성장을 억제하기 위한 방사선 치료를 선행하고 이후 전이를 일으킨 원발 병소의 암에 맞추어 항암화학요법을 실시합니다.
치료에 동반되어 여러 가지 약물의 부작용 - 메스꺼움과 구토, 구내염, 설사, 복통, 탈모 및 감염(폐렴, 요로감염)이 나타나기도 합니다. 그러나 이러한 부작용은 적절한 예방과 관리 투약을 통해서 해결될 수 있습니다.
최근에 자라고 있는 모든 세포를 대상으로 공격하는 기존의 항암제의 개념에서 벗어나 암에 대해서 선택적으로 작용하여 환자에게서 나타날 수 있는 부작용을 없애고 효과적으로 치료하기 위한 분자 표적 치료가 연구되고 있습니다. 분자표적치료의 실제 적용은 현재 폐암, 백혈병, 림프종, 유방암 그리고 대장암 등에서 광범위하게 사용되고 있고 이러한 치료 개념은 점차 다른 암들의 경우로 확대 되고 있는 추세에 있습니다. 또한 본인에게 어떠한 항암제가 더욱 효과가 좋은지를 유전학적 검사를 통해 미리 알고 사용하는 맞춤치료의 형태로 점차 옮겨 가고 있습니다.
뇌종양에 대한 방사선요법
뇌종양의 종류에 따라 방사선 치료의 적응증, 방법 및 용량이 다양합니다. 일반적으로 악성 뇌종양은 국소 침윤성이 있어 주변 정상 뇌조직으로 침투를 잘하고 림프절 전이 및 원격 전이가 드물기 때문에, 국소 치료 방법이 중요한 부분을 차지합니다. 따라서, 수술로 종양을 절제 하였더라도 국소 재발을 줄이기 위해 방사선 치료가 필요하고, 수술로 완전 절제를 못하였거나 수술이 불가능한 경우에도 방사선 치료를 받게 됩니다.
수술 후 방사선 치료
악성 뇌종양의 치료에 있어 가장 중요한 점은 완전 절제의 가능 여부입니다. 즉 육안적으로 뇌 종양을 완전 절제한 경우가, 종양을 부분 절제하여 잔존 종양이 있는 경우나 조직 검사만 시행한 경우보다 환자의 완치 가능성이 높습니다. 따라서 악성 뇌종양의 근본적인 치료는 수술입니다. 그러나, 악성 뇌종양의 특성상 육안적 완전 절제가 시행되었다 하더라도 정상 뇌로 판단되는 주위 부분에도 악성 종양의 뿌리(현미경적 잔존 종양)가 남아있으므로, 수술만 시행하는 것 보다는 수술 후 방사선 치료를 시행하는 것이 국소 재발의 가능성을 줄이며, 따라서 환자의 완치율을 높이게 됩니다. 물론 부분 절제를 시행하여 육안적 잔존 종양이 있는 경우에도 방사선 치료를 시행하게 됩니다. 악성 뇌종양의 수술 후 방사선 치료 기간은 통상적으로 6주 이상 소요되며, 최근에는 3차원 입체조형 방사선 치료 기법을 동원하여 방사선으로 인한 정상 뇌의 손상을 최소화하며 종양에 정확하게 방사선을 조사할 수 있습니다.
3차원 입체조형 방사선 치료(3-Dimensional Confomal Radiation Therapy)
3차원 입체조형 방사선 치료는 종래의 2차원적인 방사선 치료법의 제약을 극복하기 위하여 근래에 개발되어 임상에 적극 적용되기 시작한 새로운 방사선 치료의 방법들 중 하나입니다. 3차원 입체조형 방사선 치료는 첨단 전산화된 소프트웨어를 이용하여 환자로부터 얻은 CT나 MR과 같은 진단 영상들을 이용하여 종양 부위와 정상 장기를 정확하게 입체적으로 재구성하여, 종양 부위에 방사선을 쪼여 줄 방사선 치료기의 위치와 방향을 역시 입체적으로 조절하여 결정한 후 이를 환자에게 적용하는 것입니다. 이 방법을 도입함으로써 종래의 전통적인 방사선 치료법보다 정상 조직의 방사선 손상 위험을 낮추는 동시에 종양 부위에 미치는 방사선량을 증가시켜 결국 안전하면서도 방사선 치료의 치료효율을 높일 수 있는 길이 열리게 되었습니다.
3차원 입체조형 방사선 치료 과정
- ① 치료 중 움직임으로 인한 오차를 최소화하고, 치료부위 표시를 용이 하게 하기 위해 각 환자의 머리 모양에 맞는 고정틀을 만듭니다.
- ② 고정틀을 쓴 상태에서 치료 계획용 전산화단층촬영(Planning CT)을 시행하여 치료 부위의 단층 영상을 얻습니다.
- ③ 치료계획용 컴퓨터로 영상을 옮긴 후, 담당 의사가 종양의 위치 및 임상적으로 중요한 정상조직을 각 단층 영상에 표시합니다.
- ④ 종양의 위치 및 주변 정상 장기를 고려하여 방사선량이 종양에 많이 분 포하고, 정상 조직에는 최소화 될 수 있는 최적의 치료계획을 만듭니다.
고식적 목적의 방사선 치료
일반적으로 전이성 악성 뇌종양에 사용됩니다. 전이를 유발하는 원발 병변으로는 폐암, 유방암 등이 흔하며, 일반적으로 원발 병변은 물론 뇌 전이 외에도 뼈 전이를 동반하거나 다른 장기로의 전이가 동반되는 경우가 많아 완치될 가능성이 거의 없는 말기 암 환자가 이에 해당됩니다. 이럴 경우 환자의 증상을 완화시키기 위한 방사선 치료를 고식적 목적의 방사선 치료라 하며, 뇌 전체 혹은 부분 뇌를 약 1주에서 2주 정도 방사선 치료를 시행합니다. 다만, 비록 뇌 전이가 있다 하더라도 완치의 가능성이 있다고 임상적으로 판단되는 경우에는 종양 제거술, 방사선 수술, 3차원 입체조형 방사선 치료, 세기 조절 방사선 치료 등의 다양한 방법의 치료법을 적용하여 보다 적극적인 치료를 시행하기도 합니다.
뇌종양에 대한 감마나이프 방사선 수술
감마나이프란 방사선 동위 원소인 코발트 60에서 방출되는 감마선을 정확히 조절된 범위와 세기로 머리 속의 병변에 쪼이는 기계입니다. 감마나이프는 1960년대에 스웨덴에서 처음 개발되었으며, 현재 전세계에 약 200대 정도가 보급되어 있습니다. 감마나이프에 의하여 각종 뇌종양, 동정맥 기형, 통증이나 운동 장애 질환 등을 머리를 절개하는 수술에 의하지 않고 치료하는 방법을 감마나이프 방사선 수술이라고 합니다. 방사선 수술은 1회에 고용량의 방사선을 정확히 제한된 부위에 쪼임으로써 수술과 같은 효과를 얻는 치료라는 점이 비교적 넓은 범위에 여러 차례로 나누어 방사선을 쪼이는 기존의 분할 방사선 치료와의 가장 큰 차이점입니다.
삼성서울병원 신경외과는 2001년 말에 도입되었으며, 그 동안 몇 차례에 걸친 모델 개선을 통해 성능을 향상시켜왔는데 초기 모델인 A-type, 현재 주로 사용되고 있는 B-type에 이어서 가장 최근의 개선된 모델은 C-type 감마나이프 인데 C-type에서는 시술시의 좌표이동이 자동화시스템에 의하여 이루어지게 되어 시술의 정확도와 안전성이 획기적으로 향상되었습니다. 삼성서울병원에서는 2005년 3월부터 C-type 감마나이프를 가동하고 있습니다.
방사선 수술의 적응증이 되는 뇌종양으로는 경계가 분명한 양성종양에 많이 이용되고 있으며 청신경 초종을 비롯한 각종 신경초종, 뇌하수체 선종, 뇌 수막종 등이 주 치료 대상입니다. 악성 종양으로는 경계가 뚜렷한 전이성 뇌종양의 치료에 많이 이용되고 신경교종도 경우에 따라 선별적으로 치료대상이 됩니다. 그 밖에 삼차신경통 등 일부 기능적 뇌 질환의 치료에 시도됩니다.
감마나이프 모델 C : 치료 시 자동장치에 의하여 신속하고 환자에게 편안하게 좌표이동을 함으로써 복잡한 모양의 종양에 대하여 정교한 치료가 가능합니다. 오른쪽 사진에서의 선은 종양의 윤곽에 따른 감마선 의 분포를 보여줍니다.
양성 뇌종양
뇌하수체 종양
최대직경이 10mm 이상인 거대선종의 주된 치료 목적은 저하된 시력을 회복시키고 최소한 보존 시키는 데 있습니다. 따라서 병변이 크고 방사선에 특히 예민한 시신경교차와 근접해 있는 경우는 수술적 제거로 종양의 부피를 줄여 시신경계와 거리를 떨어뜨린 후, 수술 전, 후의 시신경기능이나 MRI 검사결과를 종합하여 방사선 수술 여부를 결정합니다. 또한 시신경계와 떨어져 있는 경우 일차적 치료로 사용될 수 있으며, 완전 적출 후 재발된 경우, 해면정맥동등 수술적 제거가 어려운 부분을 침범해 있는 경우에도 적응증이 됩니다. 뇌하수체 종양 중 호르몬 분비를 하지 않는 경우 종양성장 억제율은 95% 이상이고, 호르몬을 분비하는 뇌하수체 종양의 경우에는 내분비기능이 정상으로 돌아오는 경우가 약 70%입니다.
청신경 초종
감마나이프 방사선수술의 역할은 일차적인 치료나 수술적 제거 후 남은 부위에 대한 이차적인 치료로 이용됩니다. 특히 크기가 3cm 미만의 청신경 초종에서는 수술적 치료를 대체할 수 있는 방법입니다. 청신경 초종에 있어서 정위적 방사선수술의 목적은 첫째, 종양의 성장을 장기적으로 제한하고, 둘째, 인접한 뇌신경 등의 신경 기능을 보존하며, 셋째, 치료로 인한 새로운 신경학적 합병증을 막는데 있습니다. 장기 추적에 대한 보고들에 의하면 종양 성장 억제율은 95% 이상이며 시술 전 안면신경, 삼차신경, 청신경의 기능이 보존되는 비율은 각각 95%, 90%, 60%라고 보고되었습니다. 치명적인 합병증이 없고 시술의 용이함 등을 고려하면 크기가 큰 청신경 초종이 아니라면 일차적 치료로 감마나이프 방사선 수술을 추천할 수 있습니다. 방사선 수술 후 추적 MRI 검사를 시행하면, 6~9개월 후 종양 중심부에 괴사부위가 나타나고 뒤이어 종양의 부피가 감소하게 됩니다.
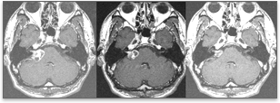
위 사진들은 각각 청신경 초종의 감마나이프 수술 전, 수술 후 8개월, 13개월에 찍은 MRI로 종양이 계속 줄어들고 있음
수막종
수막종의 일차적 치료는 수술적 적출이고 완전 적출이 된 경우에는 예후도 양호합니다. 그러나 수막종은 양성 종양으로서는 비교적 재발률이 높습니다. 완전 적출이 되었더라도 약 10년 정도 경과하면 10% 이상이 재발하고, 부분 적출만 한 경우는 50% 이상에서 진행합니다. 수술 후 종양이 남은 경우, 완전 적출이 어려운 뇌 기저부의 수막종, 고령 등의 전신적 문제로 인해 수술이 어려운 경우, 재발한 수막종의 치료에 있어 감마나이프 방사선 수술은 일차적 혹은 수술 후의 이차적 치료로서 중요한 역할을 담당하고 있습니다. 수막종의 감마나이프 방사선 수술 후 종양 성장 억제율은 약 90%입니다.
수막종(화살표가 가리키는 흰 부분)의 방사선수술 전후의 소견 : 왼쪽은 수술 전, 오른쪽은 수술 후 5년이 경과한 시점에서 종양의 직경이 약 2/3 이하로 줄어들었음.
기타 뇌종양
그 외에 빈도가 높지는 않지만 두개인두종, 혈관모세포종, 혈관모세포종, 혈관주위세포종, 송과체부위 종양 등 거의 대부분의 원발성 뇌종양의 치료가 가능합니다.
악성 뇌종양
감마나이프 방사선 수술은 악성 뇌종양의 치료에 있어서 환자의 고통 없이 치료성적을 높일 수 있는 안전한 방법입니다. 전이성 뇌종양의 치료에 있어서는 현존하는 치료법 중 가장 효과적인 방법이라고 할 수 있습니다. 원발성 악성 뇌종양에서는 많은 경우에 감마나이프 방사선 수술만으로 완치를 기대하기는 어려우나, 기존의 다른 치료법과 적절히 병합하여 사용함으로써 크게 도움이 될 수 있는 치료라고 할 수 있습니다.
전이성 뇌종양
전이성 뇌종양은 뇌에 발생하는 가장 흔한 종양입니다. 전체 암 환자의 30-50%에서 뇌전이가 발생하며, 암 환자의 주요한 사망원인의 하나입니다. 과거에는 스테로이드 투여 및 전뇌 방사선 치료를 거의 모든 환자에서 일률적으로 시행하였으나, 진단 후 평균 생존기간은 6개월에 미치지 못하였습니다. 방사선 수술 도입 이후에는 방사선 수술과 전뇌 방사선 치료를 같이 시행함으로써 생존기간이 유의하게 연장되고 있습니다. 전이성 종양에서의 감마나이프 방사선 수술 후 예후에 관계되는 가장 중요한 요인은 환자의 전신상태나 원발 부위 종양, 뇌 이외의 신체 다른 부위에의 전이 여부 등으로, 원발 부위의 종양이 제거되거나 약물로 잘 조절된 경우는 감마나이프 방사선 수술 후에 장기생존을 기대할 수 있습니다. 감마나이프 방사선 수술의 장점은 암 환자의 상당수가 이미 전신적으로 허약한 상태이지만 이에 제한되지 않고 시술할 수 있으며, 전이 종양의 위치나 개수 등에 제한 없이 치료효과를 얻을 수 있다는 점, 치료기간이 짧고 치료 후 삶의 질에 나쁜 영향을 주지 않는다는 점 등입니다. 암의 전신적 진행상태를 고려하지 않은 전체 환자에서의 감마나이프 방사선 수술 후의 평균 생존기간은 약 7개월이었으나, 시술 시 전신 상태가 비교적 양호하여 스스로 일상생활이 가능한 정도의 환자에서는 감마나이프 방사선 수술 후 평균 생존기간이 1년 이상이었으며, 전이 병변이 여러 개라도 방사선 수술 후의 결과는 특별히 나쁘지 않았습니다. 환자들의 사망원인은 2/3 이상의 뇌병변의 진행이 아니라 전신상태의 악화로 인한 것이어서 전이성 뇌종양 자체의 치료는 대단히 효과적임을 확인할 수 있습니다.
<증례>(남자/65세) 식도암으로 수술 받았던 환자로 식도수술 10개월 후에 좌측 마비증상이 있어서 시행 한 자기공명영상에서 전이성 뇌종양이 진단되었습니다. 감마나이프 방사선 수술 후 2개월에 시행한 자기 공명영상에서 종양의 크기는 현저히 감소하였습니다. 시술 후 2년 만에 시행한 검사에서 종양이 완전히 소실된 상태이며, 환자는 증상 없이 생존하고 있습니다.
<증례>(남자/65세) 식도암으로 수술 받았던 환자로 식도수술 10개월 후에 좌측 마비증상이 있어서 시행 한 자기공명영상에서 전이성 뇌종양이 진단되었습니다. 감마나이프 방사선 수술 후 2개월에 시행한 자기 공명영상에서 종양의 크기는 현저히 감소하였습니다. 시술 후 2년 만에 시행한 검사에서 종양이 완전히 소실된 상태이며, 환자는 증상 없이 생존하고 있습니다.
원발성 악성 뇌종양
뇌세포에서 발생하는 원발성 악성 뇌종양 중 대표적인 것이 교모세포종 입니다. 치료를 하지 않을 경우 진단 후 생존기간은 3개월 미만, 수술과 방사선 치료를 해도 평균 생존 기간은 1년이 되지 않습니다. 감마나이프 방사선 수술은 단독으로는 그다지 효과적이지 않으나, 수술, 방사선 치료 후에 남아있거나 재발한 종양을 치료하기 위하여 사용되는 방법입니다. 앞으로는 항암제, 혹은 방사선 효과를 증강시키는 약제 등을 병합함으로써 보다 많은 환자에서 생존기간의 연장을 위하여 사용될 수 있을 것으로 예상됩니다.
암 통증
암 환자에서의 통증치료는 암 자체의 치료, 혹은 생존기간의 연장과는 별 관계가 없지만 환자나 가족의 입장에서는 꼭 필요한 치료입니다. 말기 암 환자에서의 통증은 암 환자의 약 30% 이상에서 발생하며 이중 대다수의 환자에서 만족스러운 통증조절이 이루어지지 않는다고 알려져 있습니다. 최근 마약성 진통제로도 만족스럽게 조절되지 않는 심한 통증을 호소하는 암 환자에서 뇌하수체 부위에 감마나이프로 방사선을 쪼이는 방법(gamma hypophysectomy, gamma knife pituitary gland-stalk irradiation)에 의하여 대단히 좋은 결과를 얻었다는 보고가 있었습니다. 대개 시술 후 수일 이내에 통증이 감소되기 시작하며 통증조절 때문에 입원을 요하는 환자들이 귀가하여 경구 진통제만으로 지낼 수 있게 해주기 때문에 말기 암 환자에서는 단순한 통증 조절뿐만 아니라 심리적, 경제적인 면에서도 대단히 도움이 되는 치료입니다.
뇌종양에 대한 보조적 치료법
근접치료(Brachytheraphy)
종양 내에 동위원소 물질(iridium-192, iodine-125, phosphorus-32) 이용하여 병소에 삽입하여 국소적으로 방사선을 조사하는 방법입니다. 이 방법은 지속적으로 적은 양의 방사선을 조사함으로써 저 산소 상태의 암세포를 정상상태로 회복시켜 방사선이 효과적으로 작용할 수 있게 하며 완전히 죽지 않은 암세포가 다시 회복될 수 없도록 하는 방법입니다.
면역요법(Immunotheraphy)
면역세포 또는 세포의 생성물질 등을 이용하여 종양세포를 직접 파괴하거나, 종양세포의 증식 및 분열을 억제, 또는 숙주의 면역기능을 강화시키는 치료입니다. 종양의 혈관생성을 억제하고 항암 작용을 하는 interferon, 우리 몸의 림프구나 대식세포에서 생성되어 항암의 효과를 가지는 interleukin-2, lymphocyte activated killer cell therapy 또는 종양세포의 특이 항원에 결합하는 항체에 종양세포만 선택적으로 파괴할 수 있는 물질을 붙여 종양을 없애는 Monoclonal antibody 등의 최신 면역요법 등이 연구되고 있습니다.
유전자요법(Gene therapy)
암 유전자의 활성화 차단하고 암 억제 유전자의 비활성화 회복시켜 줌으로써 종양의 직접적인 원인을 치료할 수 있는 방법입니다.
뇌종양 수술관련 증상관리
환자들은 처음에 수술 후 며칠간 두통이나 불편감을 가집니다. 그러나, 약물로 그 통증을 대개 조절할 수 있습니다. 환자들은 의사나 간호사에게 통증에 대해 자유롭게 얘기해야만 합니다. 또한 환자들이 피로하거나 허약감을 느끼는 것이 흔합니다. 수술로부터 회복되는데 걸리는 시간은 각 환자마다 다양합니다. 덜 흔하나, 다른 문제들이 발생할 수도 있습니다. 뇌척수액이나 혈액이 뇌에서 축적될 수 있습니다. 이 부기는 부종(edema)이라고 불립니다. 의료진은 이러한 문제의 징후를 모니터 합니다. 환자들은 부기를 감소시키는데 도움을 주는 스테로이드를 투여 받을 수 있습니다.
두 번째 수술이 액을 배출시키기 위해 필요할 수도 있습니다. 외과의는 길고 가는 튜브(단락)를 뇌의 뇌실 안에 넣을 수도 있습니다. 튜브는 피부 아래로 몸의 다른 부분, 대개 복부로 나갑니다. 과도한 액체가 뇌에서 이동되어 복부로 배출됩니다. 때때로 그 액체는 심장으로 배출됩니다. 감염이 수술 후에 발생할 수 있는 또 다른 문제입니다. 발생되면, 의료진은 항생제를 줍니다. 뇌 수술은 정상 조직을 손상시킬 수 있습니다. 뇌 손상은 심각한 문제가 될 수 있습니다. 환자들은 사고, 보고, 말하기 문제를 가질 수 있습니다. 또한 성격 변화나 경기를 할 수도 있습니다. 이러한 문제의 대부분은 줄어들거나 사라집니다. 그러나, 때때로 뇌에의 손상이 영구적입니다. 환자는 물리치료, 언어치료나 작업치료가 필요할 수도 있습니다.
뇌종양 항암화학요법 관련 증상관리
항암화학요법의 부작용은 주로 사용되는 약물에 달려 있습니다. 가장 흔한 부작용은 열과 오한, 오심과 구토, 식욕부진, 허약감 입니다. 어떤 부작용은 약으로 감소될 것입니다.
뇌종양 방사선요법 관련 증상관리
급성 부작용
· 전신 반응 : 방사선 치료 개시 후 1주 이내에 발생하며, 식욕부진, 오심, 전신권태, 구토 등이 나타날 수 있습니다. 대부분은 증상이 미약하여 특별한 치료가 필요 없으나, 증상이 심한 경우에는 대증요법으로 조절이 가능합니다. 이들 증상의 원인에 대하여는 잘 알려져 있지 않으며, 개인차가 많고 환자의 정신상태에 관련된 경우가 많지만, 방사선 치료로 인한 전신반응은 방사선 치료 종료 후 1~2주 내에 소실됩니다.
· 뇌압상승에 의한 반응 : 뇌에 조사된 방사선으로 인해 일시적으로 정상 뇌세포의 부종이 유발될 수 있습니다. 이로 인하여 뇌압의 상승이 일어날 수 있으며, 두통, 오심, 구토 등의 증상이 나타납니다. 대부분의 경우에는 항구토제 혹은 스테로이드 제제를 사용하면 예방되거나 증상이 완화됩니다. 역시 방사선 치료 종료 후 수주 내에 소실됩니다.
· 탈모 및 두피 변화 : 방사선으로 인하여 두피의 손상이 초래됩니다. 따라서 방사선이 조사된 두피에 발적이 나타나거나 치료 종료 후 피부 색깔의 변화가 올 수 있습니다. 또한 방사선이 조사된 부위에는 부분적으로 탈모 현상이 나타납니다. 이러한 피부색의 변화나 부분적 탈모 현상은 수개월이 지나야 회복됩니다. 전뇌 방사선치료를 시행한 경우에는 전체적으로 탈모 현상이 나타납니다.
· 중이염 : 원발 뇌 병변의 위치가 내이(內耳) 위 쪽인 경우에는 방사선 치료로 인하여 내이에도 방사선이 조사되므로 중이염이 발생될 가능성이 있습니다. 조사된 방사선 선량에 따라 중이염의 발생 가능성은 차이가 있으나 치료 중 발생한 중이염이 만성 중이염으로 이행되는 경우는 드뭅니다.
만성 부작용
통상적인 방사선 치료 용량으로 뇌 기능의 장애가 오는 경우는 드물고, 3차원 입체조형 방사선 치료를 적용한 경우에는 치료 전에 미리 고 선량의 방사선이 조사되는 정상 뇌의 용적을 예측할 수 있으므로 부득이한 경우를 제외하고는 일반적으로 방사선 치료로 인한 이러한 부작용을 피할 수 있습니다.
뇌종양 수술 후 관리, 일상생활
마음가짐과 태도
긍정적이고 적극적인 태도, 즉 의료진을 믿고 치료지침을 따르며 환자라기보다 병을 이긴다는 마음을 갖고 기분이나 심정을 친구나 가족들과 나누려는 태도를 가지십시오. 평소 하던 일을 계속하되 술, 담배를 금지하고 건전한 여가 생활을 가져야 합니다.
운동
수술 후 : 가벼운 운동
수술 후 1개월 : 아침, 저녁걷기(30분~1시간)
수술 후 1~3개월 : 수영, 자전거, 등산, 골프
수술 3개월 이후 : 본인이 원하는 운동 가능
항암제, 방사선 치료 중 : 가벼운 산책
가벼운 단계에서 점차 증가하십시오.
성생활
수술 후 체력이 회복되면 정상적인 성 관계를 갖는 것이 좋습니다. 정신력과 면역능력이 강화되고 가족간의 애정표현으로 정신적인 안정을 갖게 됩니다.
치료지침 준수
규칙적인 추적관찰이 뇌종양 치료 후 매우 중요합니다. 종양이 재발되지 않았다는 것을 확인하기 위해 자세히 체크 하게 됩니다. 주의 깊은 신체적, 신경학적 검사가 점검에 포함됩니다. 때때로, MRI나 CT를 시행할 수 있습니다. 환자가 단락을 가지고 있다면, 잘 작동되는지 체크 합니다. 환자가 의사를 얼마나 자주 방문해야 하는지 무슨 검사가 필요한지 추적검사 계획을 설명할 수 있습니다.
영양 관리
뇌종양은 신경 중추인 뇌에 종양이 생긴 질병으로, 증상은 두통, 구토, 메스꺼움, 의식저하, 성격변화, 신체마비, 연하곤란, 내분비장애 등이 있습니다. 이러한 증상들은 수술, 방사선요법, 화학요법 등의 치료로 호전될 수 있으나, 치료로 인해 불가피하게 영양섭취와 관련된 문제가 발생하거나 호르몬 치료, 스테로이드 등 약물치료가 병행하면서 대사적 문제가 나타날 수 있기 때문에 각 상태에 맞추어 적절한 영양관리가 요구됩니다.
수술 후 종양이 성공적으로 제거된 양성 또는 악성 뇌종양 환자는 수술 후 치료과정에서도 음식 섭취량이 크게 줄지 않고 일반적인 식사를 통해 정상적인 음식섭취가 가능한 반면 악성이나 전이성 뇌종양 환자는 암이 진행하면서 직간접적으로 심한 영양섭취의 감소를 겪게 될 수 있습니다. 수술 후 뇌 부종, 성격 및 인지기능의 변화, 신체마비, 체내 전해질의 불균형, 연하곤란 등의 합병증이 나타나게 되면 환자 스스로 음식을 섭취하는 능력이 떨어져서 충분한 영양섭취가 어렵게 되고, 방사선요법이나 화학요법 치료가 병행될 경우 부작용으로 인해 음식 섭취량이 급격히 감소하여 영양불량상태가 되기 쉽습니다.
반면 호르몬이나 스테로이드 등 약물치료를 받는 환자에서는 약물치료 자체가 체내에서 영양소의 대사 및 에너지 조절에 영향을 주기 때문에 적절히 음식 섭취량을 조절하지 않을 경우 영양불균형이 발생하여 지속적인 체중증가가 발생하기도 합니다.
일반적인 암 환자의 영양관리는 과도한 체중증가나 감소를 예방하며, 좋은 영양상태를 유지하여 치료의 효과를 최대한 높이는 것이 그 목표이며, 뇌종양 환자의 영양관리 목표도 이와 동일합니다. 다만, 질병의 특성에 따라 환자에게 진행되고 있는 치료가 무엇인지, 환자의 음식섭취능력은 어느 정도인지 등이 고려되어야 합니다. 기본적으로 당질, 단백질, 지방, 무기질 및 비타민 등 여러 필수영양소를 골고루 섭취할 수 있도록 하고, 치료로 발생한 음식 섭취할 때의 문제점이나 증상에 따라 섭취량을 증가시키기 위한 식사방법이 필요합니다. 이하에는 뇌종양 환자의 치료 단계별로, 그리고 환자의 증상별로 적합한 영양관리와 식사방법의 내용이 소개되어 있습니다.
수술 후 식사 및 영양관리
수술을 받아서 완치된 뇌종양 환자는 특별한 식사요법을 필요로 하지 않으며, 일반인과 동일하게 규칙적이고 균형적인 식사를 통해서 좋은 영양상태를 유지할 수 있습니다. 그러나, 다음과 같은 증상이나 질병이 남아있는 경우는 영양관리에 주의를 요합니다. 우선, 다뇨증 혹은 심한 갈증을 주증상으로 하는 요붕증이 있는 경우, 수분섭취를 충분히 하여 탈수를 예방하도록 하고, 열량이 적은 음료를 섭취함으로써 체중이 증가되지 않도록 주의합니다.
특히, 커피, 알코올, 차 등과 같이 소변량을 늘일 수 있는 음료는 피하는 것이 좋습니다. 또한, 내분비장애로 고혈압, 당뇨, 비만 등의 건강의 문제가 있는 경우 정상체중 유지를 위한 식사요법을 따라야 합니다. 과식을 피하되 식사는 거르지 않고 규칙적으로 하여야 하고, 여유를 가지고 천천히 식사하도록 합니다. 쌀밥보다 섬유소가 많은 잡곡밥, 비교적 열량이 적은 채소류나 해조류 등을 섭취하는 것이 좋습니다. 하루 3끼 식사와 함께 계획적인 간식섭취가 필요합니다. 간식으로는 적당량의 우유와 과일이 좋으며, 열량이 높은 간식 (과자, 초콜릿, 아이스크림, 음료수, 튀김류 등)과 수시로 섭취하는 당분위주 간식(빵, 감자, 고구마 등)은 피하도록 합니다.
호르몬제, 스테로이드 사용과 영양문제
뇌하수체 종양의 경우, 수술로 종양의 제거가 가능하지만, 수술 후 특정 호르몬이 부족할 경우 지속적인 호르몬 치료를 받게 되는데, 이로 인해 체내 신진대사와 에너지 균형에 변화가 생겨 체중 증가가 발생할 수 있습니다. 따라서, 정상체중을 유지하기 위한 음식 섭취량 조절이 필요합니다. 마찬가지로 부족한 호르몬이나 뇌 부종을 조절하기 위해 자주 사용하는 스테로이드는 체내 수분 보유(부종)나 식욕증가를 가져옴으로써 체중을 증가시킬 위험이 있습니다.
만약 스테로이드의 복용으로 식용이 증가한다면, 열량은 높으나 영양가가 없는 식품(청량음료, 초콜릿, 사탕 등)이나 당질 위주의 간식(과자, 빵, 고구마, 감자, 떡 등)은 피하거나 섭취량을 줄이는 것이 좋습니다. 또한, 싱겁게 먹는 식습관을 통해 체내 수분보유를 피하는 것이 좋습니다. 염분(나트륨)은 우리 몸에서 수분을 축적시키는 작용을 하기 때문에, 염분함량이 높은 식품(가공식품, 건어물, 김치, 젓갈, 장아찌, 화학조미료 등)은 제한하고 가능한 싱겁게 먹는 것이 좋습니다.
연하곤란 있을 때의 영양관리
연하기능을 관장하는 뇌 부위에 종양이 있는 환자, 화학요법을 받는 환자, 의식이 저하된 환자 등은 연하곤란을 겪을 수 있습니다. 연하곤란이 발생한 환자는 음식물의 대부분을 흘리거나, 음식물 섭취 시에 사리가 자주 들고, 음식물을 삼키지 못하고 입안에 물고 있는 등의 증상을 나타냅니다. 또한 음식이 기도로 들어가는 흡인 현상으로 인해 폐렴발생의 위험이 높아지게 되며, 이러한 증상이 장기간 지속되면 불충분한 음식섭취로 인하여 체중감소, 탈수, 영양결핍이 발생하게 됩니다.
연하곤란이 발생하면, 환자의 연하기능에 맞추어 적합한 음식을 제공해야 합니다. 일반적으로 갈거나 다진 부드러운 음식을 제공하되, 영양과 환자의 음식선호도를 고려하여 식단을 다양하게 구성하도록 합니다. 죽 뿐만 아니라 두부 찜이나 계란 찜, 갈은 고기, 부드럽게 조리하거나 찐 생선 등의 단백질 찬과 섬유질이 적은 채소류, 이를테면, 호박, 버섯류, 시금치 등의 채소 찬을 갈아서 함께 제공하며, 간식으로 요플레나 과일을 제공하는 등 다양한 식품으로 식사와 간식을 준비함으로써 균형 잡힌 영양섭취가 가능하도록 합니다. 그리고, 섭취량이 적을 경우, 영양밀도가 높은 영양보충음료(뉴케어, 그린비아 등)를 함께 제공해주면 도움이 됩니다.
다만, 이러한 음료는 물과 같은 액체이기 때문에 흡인의 위험이 높으므로 점증제를 사용하여 농도를 높여 제공하도록 합니다. 연하곤란의 환자는 증상이 호전되는 정도에 따라서 음식을 갈은 형태의 연하 보조식에서 음식을 다진 형태의 치아 보조식을 거쳐 점차적으로 일반식으로의 식사요법 진행이 가능합니다. 그러나, 입으로의 음식섭취가 아주 위험한 경우에 한해서, 환자의 충분한 영양섭취를 위하여 튜브를 통한 경관급식이 필요할 수 있습니다.
연하곤란을 겪는 환자는 올바른 자세로 적합한 식사방법을 따를 때 안전하게 식사를 섭취할 수 있습니다. 우선, 환자를 또렷하게 깨우고, 똑바로 앉게 해야 합니다. 환자가 음식을 삼킬 때는 턱을 가슴 쪽으로 약간 숙인 상태를 유지하도록 합니다. 식사는 천천히 하며, 환자가 식사 중에 기침을 하면 등을 두드려 주고 잠시 식사를 중단했다가 다시 시작하고, 식후 적어도 20~30분 정도 눕지 않고 앉아 있도록 합니다.
화학요법 및 방사선요법 치료시의 영양관리
화학요법이란 암을 치료하기 위해 약물, 즉 항암제를 사용하는 것입니다. 항암제는 온 몸을 순환하며 암세포를 죽이는 역할을 하지만, 정상세포에도 영향을 미치기 때문에 부작용을 낳습니다. 화학요법의 부작용으로 메스꺼움, 구토, 설사, 변비, 백혈구 수치 감소 등이 있습니다. 방사선요법이란 고 에너지의 방사선을 이용하여 악성 종양이나 일부 양성종양 부위를 국소 치료하는 것으로, 치료부위에 따라 부작용이 다르게 나타납니다. 일반적으로 뇌 부위 치료할 때 발생하는 부작용은 구토, 메스꺼움, 식욕부진, 전신 피로감 등이 있습니다.
이러한 치료를 받을 때에는 영양결핍과 체중감소를 막고 병의 증상과 치료로 인한 부작용을 완화시켜 좋은
영양상태를 유지하는 것이 중요합니다. 치료와 병행되는 영양관리는 궁극적으로 치료의 효과를 최대한 높일 수 있습니다. 다만, 한 가지 유의할 점은 암을 치료하거나 재발을 막는 특별한 식품이나 영양소는 없다는 사실입니다. 암 환자의 영양관리에서 가장 중요한 것은 다양한 음식을 선택하여 균형 잡힌 식사를 하도록 배려하는 일입니다. 환자가 충분한 열량, 단백질, 지방과 비타민 및 무기질을 공급할 수 있는 식사를 섭취하여야만 좋은 영양상태가 유지될 수 있습니다. 다음은 치료할 때 주로 발생하는 증상과 그에 대처하는 식사방법입니다.
식욕부진
식욕부진은 치료과정 중에서 가장 일반적으로 나타나는 부작용 중 하나입니다. 이것은 메스꺼움이나 구토를 동반하여 식사섭취에 악영향을 미칩니다. 식욕부진이 있는 환자는 가능한 식사시간에 구애 받지 말고 입맛이 당길 때마다 소량씩 자주 먹도록 합니다. 양념이 강한 찌개류, 초고추장무침, 장류, 젓갈 등은 식욕을 돋굴 수 있습니다. 그리고 가벼운 산책으로 움직임을 증가시키거나 식사장소, 분위기를 바꾸어 보는 것도 식욕을 돋구는 한 방법이 됩니다. 식사 이외에 영양보충음료(뉴케어, 그린비아 등)도 좋은 영양 급원이 될 수 있습니다.
메스꺼움, 구토
메스꺼움이나 구토는 암이라는 질환 자체에 의해서, 혹은 그 치료과정에서 쓰이는 약물이나 항암제에 의해서 나타날 수 있습니다. 이 부작용이 나타나는 환자는 조금씩 천천히 자주 먹도록 하며, 메스꺼움을 유발하기 쉬운 뜨거운 음식은 피하고 가능한 음식은 차갑게 해서 먹습니다. 구토가 심한 환자는 억지로 먹지 않도록 하며, 구토가 멈추고 나면, 물이나 미음부터 조금씩 먹기 시작합니다. 이후 적응이 되면 죽에서 밥으로 점차 바꿔 가도록 합니다. 음식냄새도 메스꺼움이나 구토를 유발하는 경향이 있으므로 음식냄새가 적은 빵이나 과자, 신선한 채소, 과일 등을 제공하는 것이 환자의 섭취량을 늘이는데 도움이 됩니다.
음식에 대한 입맛의 변화가 있을 때
암 환자가 화학요법 혹은 방사선치료를 받다 보면, 입맛이 변하여 단맛에 둔감해지는 반면 고기 맛에는 민감해질 수 있습니다. 특히, 육류에서 쓴맛이나 금속성의 맛을 느끼게 되거나 아예 음식의 맛을 느끼지 못하게 될 수도 있습니다. 환자가 고기 맛을 싫어하게 되면, 고기 대신 생선, 닭고기, 계란, 두부, 치즈 등을 섭취하도록 합니다. 요리할 때 과즙, 와인, 드레싱, 소스 등을 충분히 사용하면 고기냄새를 없애는데 도움이 됩니다.
변비가 있을 때
변비는 수분 및 음식 섭취가 불충분하거나 오랫동안 누워 있는 경우에 생길 수 있습니다. 변비가 있는 환자의 경우 가능한 식사 섭취량을 늘이도록 하고 물과 음료수를 통해 수분을 충분히 섭취하도록 합니다(하루에 8~10컵 이상). 특히, 아침에 일어나자마자 차가운 물을 마시면 장 운동에 도움이 됩니다. 잡곡밥, 채소류, 해조류, 생과일 등 섬유소가 많은 식품을 자주 섭취하는 것이 좋습니다.
면역기능이 저하되었을 때
치료로 인해 백혈구수가 감소하게 되면 면역력이 떨어지게 됨으로 감염에 특별히 주의해야 합니다. 감염을 예방하기 위해서는 익힌 음식을 먹어야 하며, 젓갈류, 게장 등 발효된 음식이나 붕어, 장어 등 민물음식은 먹지 않습니다. 또한 조리에 사용되는 기구, 식기, 수저는 반드시 소독한 후에 사용하도록 합니다.
건강보조식품 및 민간요법의 사용
시중에는 암에 좋다고 하는 건강 보조식품이 많이 있으나, 그 중 대부분은 충분한 임상실험을 통해 항암 효과가 있다고 입증되지 못한 것입니다. 또한, 특정 건강보조식품을 장기 복용하면 치료에 부정적인 영향을 미칠 수 있으며, 신체장기(간, 신장 등)에 부담을 줄 수 있습니다. 따라서 식사와 간식을 통해 충분한 영양섭취를 할 수 있도록 하되, 특정 건강보조식품이나 민간요법은 사용하지 않는 것이 바람직합니다.
뇌종양 환자의 신경재활
뇌종양 환자에서 재활 치료는 종양에 의해 손상된 뇌 부위에 따라 운동, 감각, 언어, 인지 등 기능상에 문제가 생겼을 때 필요하게 됩니다. 인간의 뇌는 외상 또는 질병에 의하여 손상을 받았을 때 손상된 기능을 회복하기 위하여 생리적, 화학적 및 구조적인 변화가 일어나며 이를 뇌 가소성(plastictiy of brain)이라 하는데, 최근의 연구들에 의하여 인간의 대뇌 피질 신경망은 성인에서도 가소성에 의한 재조직(reorganization)의 가능성이 크다는 것이 입증되어 뇌 질환 환자에서 신경재활의 중요성을 부각시켰고, 효과적이며 성공적인 기능회복을 위하여 뇌 가소성을 촉진시키는 치료들에 대한 연구들이 진행되고 있습니다. 또한 최근에는 PET와 기능적 MRI(tMRI), 확산텐서영상(DTI)등 기능적 뇌 영상기법이 발달되어 변화된 뇌 신경 망을 가시화하여 보여줄 수 있어 실제 살아있는 인간의 뇌에서 신경 망의 재조직 상태를 파악할 수 있게 되어 발전이 가속화되고 있습니다.
재활치료의 목표
뇌종양이 한쪽 대뇌 반구의 특정 부위에 있을 때는 국소적 뇌 손상의 양상을 보이지만 병변이 점차 광범위한 분포를 보일 때에는 의식장애나 치매의 양상도 나타날 수가 있습니다. 병변의 위치, 형태, 깊이에 따라 운동 및 감각 손실을 보이거나 인지 장애, 언어 장애, 기억 장애, 행동 장애 등이 동반될 수 있습니다. 재활치료의 목표는 신경학적인 악화 및 손상을 제한 시켜 기능적 장애(Functional disability)를 최소화하는 것입니다. 뇌종양에 대한 수술치료 후 환자의 신경학적 상태가 안정되면 가능한 빨리 재활의학적 치료가 시작되어야 합니다. 재활치료는 신체적 및 인지적 손상이 있는 상태에서 기능적 및 심리사회적 예후를 극대화하고 동시에 회복을 방해하는 이차적인 의료적 합병증을 예방하도록 team approach를 실시하는 것이 원칙입니다.
뇌 종양에 동반될 수 있는 장애
- ① 운동(Motor control and strength) 장애
- ② 협응 운동 및 균형(Motor coordination and balance)의 장애
- ③ 감각(Sensation) 장애
- ④ 언어(Language and communication) 장애
- ⑤ 실행증(Apraxia)
- ⑥ 편측 무시 증후군(Neglect syndrome)
- ⑦ 연하장애(Dysphagia)
- ⑧ 신경인성 방광 및 장(Uninhibited bladder and bowel)
- ⑨ 반사성 교감신경 이영양증(Reflex sympathetic dystrophy syndrome)
재활치료의 종류
감각운동 및 기능훈련(Sensorimotor and functional training)
뇌 손상 환자를 위한 치료에 사용되는 가장 흔하고 중요한 과정은 치료적 운동프로그램(therapeutic exercise program)입니다. 전통적인 치료적 운동프로그램은 체위유지(positioning), 수동적 및 능동적 관절가동 운동(passive & active ROM exercise), 점진적 저항운동(progressive resistive exercise)들로 구성됩니다. 유산소 훈련(Aerobic training)과 지구력 훈련(endurance training)이 또한 포함될 수 있습니다. 자기관리 과제들(Self-care tasks), 이동기술(mobility skills), 일상생활동작(activates of daily living, ADL)에서의 기능훈련이 가장 표준적인 재활 프로그램의 중점과제가 됩니다. 또한 보바쓰 치료(bobath therapy), 브런스트럼 치료(Brunnstrum therapy)등 여러 가지 신경 근 촉진운동기법(neuromuscular facilitation exercise)이 뇌 질환 환자의 치료에 사용되고 있습니다.
언어 장애의 치료(Treatment of speech and language disorder)
실어증에 대한 표준화된 평가 도구와 치료 방법들이 개발되어져 있으며 이중 운율치료(melodic intonation therapy)는 음악적 정보를 처리하는 비우성 대뇌반구(nondominant hemisphere)에서의 손상되지 않은 신경 망을 활용하도록 고안된 방법입니다. 또한 여러 가지 기법들이 언어적 표현력, 이해력, 읽기 등을 촉진시키도록 사용됩니다. 조음장애(dysarthria)를 위한 치료는 감각자극(sensorystimulation), 언어 관련 구강 근육의 강화, 호흡훈련(respiratory training) 및 조음의 패턴과 조음과정의 재훈련(retraining) 등이 포함됩니다.
인지재활(Cognitive Rehabilitation)
인지장애가 있는 환자의 재활 프로그램을 계획하고자 할 때에는 먼저 환자의 장애가 어느 부분에 주로
있는지를 정확하게 파악하여야 합니다. 기억장애를 호소하는 환자의 많은 부분에서 주의력 장애(attention deficit), 즉 작업기억력(working memory)의 저하가 주 원인이 될 수 있으며 이때에는 주의력과 집중력의 호전을 위한 치료가 선행되어야 합니다.
인지훈련은 손상된 인지기능의 회복을 위한 치료(restoration of damaged function)와 정상적으로 남아있는 기능을 이용하여 기능장애를 보상하고 대치(compensation & substitution) 시켜 주는 두 가지 방향으로 진행되어 집니다.
인지장애가 있는 환자의 재활 프로그램을 계획하고자 할 때에는 먼저 환자의 장애가 어느 부분에 주로
있는지를 정확하게 파악하여야 합니다. 기억장애를 호소하는 환자의 많은 부분에서 주의력 장애(attention deficit), 즉 작업 기억력(working memory)의 저하가 원인이 될 수 있으며 이때에는 주의력과 집중력의
호전을 위한 치료가 선행되어야 합니다.
심리사회적 재활(Psychosocial Rehabilitation)
재활치료 프로그램에 대한 참여도 및 결과에 영향을 미치는 주요 요인의 하나는 환자의 동기(motivation) 입니다. 따라서 motivation을 증진시키기 위하여 설명과 설득(explanation), 긍정적 강화(positive reinforcement), 행동수정(behavioral modification)등을 사용합니다. 재활치료 과정이나 일상 생활동작 등에 자발적인 참여가 현저히 저하된 환자에게는 항 우울제(antidepressant)의 사용이 유용합니다. 이들 약물은 기분상태 뿐만 아니라 기능적 수행능력을 개선시킬 수 있습니다.
뇌종양의 예방
뇌종양을 예방할 수 있는 방법은 없습니다. 조기 진단만이 최선의 방법입니다. 뇌종양은 증상이 매우 다양하여 치매나 정신병으로 오인 받아 정신건강의학과에서 오랜 시간을 허비하기도 하고, 시력저하가 주증상으로 나타나는 경우에는 안과, 배뇨장애가 주증상인 경우에는 비뇨기과, 구역, 구토, 소화불량 등이 주증상인 경우에는 소화기내과에서 불필요한 검사를 시행하면서 오랜 시간을 허비하여 적절한 치료시기를 놓치는 경우가 많습니다. 따라서 증상이 있는 경우, 전문의와 상담하여 정밀검사를 받아 조기진단이 되도록 하는 것이 최선입니다.
용어 설명
- 3차원 입체조형 방사선 치료(3-dimensional conformal radiation therapy) : 종양의 3차원 그림을 만들기 위해 컴퓨터를 사용하는 방법. 종양에 가능한 한 가장 높은 방사선 용량을 주고, 반대로 가능한 한 많이 정상 조직을 보호하게 된다.
- 간호사(Nurse) : 종양의 3차원 그림을 만들기 아프거나 불구인 사람들을 돌보도록 훈련된 건강 전문가.
- 감마선(Gamma rays) : 엑스레이와 다른 고에너지의 방사선 형태.
- 개두술 (Craniotomy) : 두개골에 구멍을 내는 수술.
- 경기(Seizures) : 경련(Convulsion) ; 근육의 갑작스럽고 불수의적인 움직임.
- 고분할(Hyperfractionation) : 하루에 한번 대신에 하루에 두세 차례 보통보다 더 작은 용량으로 방사선 치료를 하는 방법.
- 고식적 간호(Palliative care) :암이나 다른 질환의 증상을 예방하거나 줄이는 간호. 질병의 경과를 변화시키지 않으나 삶의 질을 향상시킬 수 있다. 통증, 우울이나 다른 문제를 줄이도록 도움으로써 환자의 신체적, 정서적, 정신적, 실질적인 욕구를 충족하도록 시도한다. 안위 간호(comfort care), 지지적 간호(supportive care), 증상관리(symptom management)라고도 불린다.
- 괴사(Necrosis) : 살아있는 조직의 죽음을 말한다.
- 국소마취(Local anesthesia) :몸의 한 부분의 감각을 일시적으로 없애는 것. 환자는 깨어있으나 마취제가 사용된 몸의 부분을 느낄 수 없다.
- 내과 종양전문의(Medical oncologist) : 항암화학요법, 호르몬요법과 생물학적 요법을 사용하여 암을 진단하고 치료하는데 전문적인 의사. 암을 가진 누군가를 주로 돌보고 다른 전문가에 의해 제공되는 치료를 조정한다.
- 뇌간(Brain stem) : 척수로 연결되는 뇌의 부분.
- 뇌간 교종(Brain stem glioma) : 척수로 연결되는 뇌의부분(뇌간)에 위치한 종양. 종양의 등급에 따라 빨리 또는 천천히 자라기도 한다.
- 뇌실(Ventricles) : 심장이나 뇌 안에 액체로 채워진 방.
- 뇌척수액(Cerebrospinal fluid) : CSF. 뇌와 척수를 둘러싸고 흐르는 액체. 뇌척수액은 뇌에 있는 뇌실에서 생성된다.
- 뇌하수체(Pituitary gland) : 주요한 내분비 선. 다른 선과 많은 신체 기능, 특히 성장을 조절하는 호르몬을 생한한다.
- 뇌하수체 종양(pituitary tumor) : 뇌하수체에 발생한 뇌종양.
- 다형성 교모세포종(Glioblastoma multiforme) : 뇌의 신경 교(지지적인) 조직에서 형성되는 뇌종양의 한 형태. 매우 빨리 자라고 정상세포와 매우 다르게 보이는 세포를 가지고 있다. 4등급 성상세포종 이라고도 불린다.
- 단계(Stage) : 몸 안의 암의 정도, 특히 질병이 원래 부위에서 다른 부분으로 얼마나 퍼졌는지.
- 단락(Shunt) :배액튜브. 외과의는 몸의 한 부분으로부터 다른 부분으로 혈액이나 다른 체액을 옮기기 위해 단락을 삽입하거나 만든다. 예를 들면, 외과의는 뇌척수액을 뇌로부터 복부로 배액하기 위해 튜브를 삽입할 수 있다.
- 대뇌(Cerebrum) : 뇌의 가장 큰 부분. 두 반구로 나뉜다.
- 대뇌반구(Cerebral hemispheres) :대뇌를 이등분한다. 근육 기능을 조절하고 또한 언어, 정서, 읽기, 쓰기, 학습을 조절하는 뇌의 부분인 대뇌를 이등분한 각각. 우측 반구는 몸의 좌측의 근육을, 촤측 반구는 몸의 우측의 근육을 조절한다.
- 두개인두종(Craniopharyngioma) : 체온, 배고픔, 갈증을 조절하는 뇌의 부분인 시상하부를 손상할 수 있기 ??문에 악성으로 고려되는 양성 뇌종양.
- 등급(Grade)종양의 등급은 암 세포가 현미경 하에서 얼마나 비정상적으로 보이는 지와 얼마나 빨리 자라고 퍼지는지에 달려 있다. 등급체계는 암의 각 형태에 따라 다르다.
- 마비(Paralysis) : 몸의 모든 또는 부분을 움직이는 능력의 상실.
- 막(Membrane) :표면을 덮는 조직의 매우 얇은 층.
- 물리치료자(Physical therapist) : 근육 강화와 움직임을 돕는 운동과 신체 활동을 가르치는 건강 전문가.
- 방사선(Radiation) : 입자 형태나 전자기장파를 분비하는 에너지. 방사선의 흔한 원천은 라돈 가스, 외계로부터의 우주선(cosmic rays), 의학적인 엑스선을 포함한다.
- 방사선종양학자(Radiation oncologist) : 암을 치료하기 위해 방사선을 사용하는데 전문화된 의사.
- 방사선 치료(Radiation therapy) : 암 세포를 죽이고 종양을 줄이기 위해 엑스선, 감마선, 중성자와 다른 원천으로부터 고 에너지 방사선 사용. 방사선은 기계에서 몸 바깥으로 오거나 (외부 빛살 방사선요법(external-beam radiation therapy)) 방사선동위원소라 불리는 물질에서 온다. 방사선동위원소는 방사선을 만들고 종양 안이나 가까이 또는 암 세포의 가까운 부분에 넣을 수 있다. 이러한 형태의 방사선 치료가 내부 방사선 치료(internal radiation therapy), 삽입 방사선(implant radiation), 간질 방사선(interstital radiation), 근접치료(brachytherapy)라고 불린다. 전신 방사선 요법은 방사선 추적 단클론 항체(radiolabeled monoclonal antibody)와 같은 방사성 물질을 사용하고, 몸을 통해 순환한다.
- 배세포(Germ cell) : 몸의 생식 세포. 생식세포는 여자에서의 난자 세포와 남자에서의 정자 세포이다.
- 배세포종양(Germ cell tumor) : 정자나 난자를 만드는 세포에서 시작하는 종양. 대개 몸 어디에서든 발생할 수 있고 양성이거나 악성일 수 있다.
- 배아종(Germinoma) : 뇌에서 생식세포종양에서 가장 흔한 형태.
- 병리학자(Pathologist) : 현미경 하에서 세포와 조직을 연구함으로써 질병을 규명하는 의사.
- 부작용(Side effects) : 치료가 건강한 세포에 영향을 줄 때 발생하는 문제. 암 치료의 흔한 부작용은 피로, 오심, 구토, 혈액세포수치 저하, 체모소실, 구강통증이다.
- 부종(Edema) : 신체 조직에서 과도한 액체에 의해 초래되는 부기.
- 분할(Fractionation) : 방사선 치료의 전체 용량을 수일에 걸쳐 여러 번 작게, 같은 용량으로 나누어 전달하는 것.
- 사회사업가(Social worker) : 감정적이나 신체적인 욕구에 대하여 사람들과 그 가족들과 얘기하여 지지 서비스를 찾아주도록 훈련된 전문가.
- 삶의 질(Quality of life) : 인생의 총체적인 즐거움. 많은 임상 실험은 개인의 복지에 대한 느낌, 암의 영향을 사정하기 위해 다양한 활동을 수행하는 능력, 삶의 질에 대한 치료를 측정한다.
- 상의세포종(Ependymoma) :
- 뇌 또는 척수의 뇌실에서 발생되는 뇌종양.
- 생검(Biopsy) : 현미경 하 검사를 위한 세포나 조직의 제거. 조직의 표본만 제거되었을 때 절개 생검(incisional biopsy) 또는 중심부 생검(core biopsy)으로 불린다. 전체 덩어리나 의심 범위가 제거되었을 때 절제 생검(excisional biopsy)으로 불린다. 조직이나 액체의 표본이 침으로 제거되었을 때 침 생검(needle biopsy) 또는 세침 흡입(fine-needle aspiration)으로 불린다.
성상세포(Astrocyte) : 뇌와 척수에 있는 세포의 형태. 성상세포는 신경 세포들을 지지하는 별 모양의 세포이다. 신경교세포의 한 형태이다. - 성상세포종(Astrocytoma) : 성상세포로 불리는 작은 별 모양의 세포에서 시작되는 종양.
- 세포(Cell) : 신체의 모든 조직을 구성하는 개별적 단위. 모든 생물은 하나 또는 그 이상의 세포로 구성되어 있다.
- 소뇌(Cerebellum) :
- 대뇌와 뇌간 사이, 두부의 뒷부분에 있는 뇌의 부분. 소뇌는 보행과 설 때 균형과 다른 복잡한 운동 기능을 조절한다.
- 속발성 종양(Secondary tumor) : 처음 다른 기관에 나타난 기관으로부터 퍼져온 암. 예를 들면 유방암세포가 폐로 퍼져(전이) 새로운 종양의 성장을 초래한다. 이것이 발생되면 질환은 전이성 유방암, 폐에 있는 종양은 속발성 종양이라고 한다.
- 송과체(Pineal gland) : 수면-각성 주기에서 중요한 역할을 하는 호르몬인 멜라토닌을 생성하는 뇌에서의 작은 기관.
- 송과체 종양(Pineal region tumors) : 뇌 내 작은 기관인 송과체 안이나 주위에 생기는 뇌종양의 형태
- 수막(Meninges) : 뇌와 척수를 덮고 보호하는 세 개의 막.
- 수막종(Medulloblastoma) : 뇌의 아래 부분에서 발생하고 척추나 다른 부분으로 퍼질 수 있는 악성 뇌종양. 원시신경외배엽성 종양(primitive neuroectodermal tuor(PNET))의 한 형태이다.
- 수술(Surgery) : 몸의 한 부분을 제거하거나 재건하거나 질병이 있는지를 찾아내는 시술.
- 스테로이드(Steroids) : 부종과 염증을 완화시키기 위해 사용하는 약.
- 신경교세포(Glial cells) : 신경세포를 둘러싸고 그것들을 제 위치에 받치는 세포. 또한 서로로부터 신경세포를 분리한다.
- 신경교종(Glioma) : 신경교 또는 지지적인 세포에서의 시작하는 뇌의 암.
- 신경 섬유초 세포(Schwann cell) : 신경세포를 분리하도록 돕는 말초신경계의 세포.
- 신경세포(Nerve cells) : 몸에서 뇌로 신호를 받고 주고 몸으로 되돌아가는 세포. 신호는 약한 전류에 의해 보내진다.
- 신경외과의(Neurosurgeon) : 뇌, 척추, 신경계 수술에 전문화된 의사.
- 신경의(Neurologic) : 신경이나 신경계와 관련 있는.
- 신경종(Neuroma) : 신경세포에서 발생하는 종양.
- 신경종양전문의(Neurooncologist) : 뇌종양과 신경계의 다른 종양을 진단하고 치료하는데 전문화된 의사.
- 신경초종(Schwannoma) : 신경초(보호 덮개)에 발생하는 말초신경계의 종양. 대개는 모두 양성이나 드문 악성 신경 초종이 보고되어 왔다.
- 아크릴로니트릴(Acrylonitrile) : 플라스틱, 고무, 직물을 만드는데 사용되는 물질. 이 물질에 노출되는 작업자들은 어떤 암(폐, 뇌, 또는 전립선 암과 같은)을 발생시킬 위험이 있을 수 있다.
- 악성의(Malignant) : 암성의; 조직 가까이 침범하고 파괴하며 몸의 다른 부분에 퍼지는 경향을 보이며 자람.
- 암(Cancer) : 비정상적인 세포가 조절 안되며 분화하는 질환에 대한 용어. 암 세포는 조직 가까이 침범하고 혈류와 임파계를 통해 신체의 다른 부분으로 퍼질 수 있다.
- 양성의(Benign) : 암성이 아닌; 조직 가까이 침범하지 않거나 신체의 다른 부분에 확산 되지 않은.
- 양성자(Proton) : 모든 요소의 원자에서 찾아지는 물질의 작고 양성을 띠는 입자. 특별한 기구에 의해 발생되는 양성자의 흐름이 방사선 치료에서 사용될 수 있다.
- 양자선 방사선 치료(Proton beam radiation therapy) : 특별한 기계에 의해 생성되는 양성자를 사용하는 방사선 치료의 한 형태. 엑스레이와 다른 고 에너지 방사선의 한 형태이다.
- 언어 치료사(Speech therapist) : 의사소통과 연하장애를 가진 사람들을 평가하고 치료하는 전문가.
- 엑스레이(X-ray) : 고 에너지 방사선의 한 형태. 낮은 용량에서 엑스레이는 몸 내부의 그림을 만듦으로써 질병을 진단하는데 사용된다. 높은 용량에서 엑스레이는 암을 치료하는데 사용된다.
- 역형성의(Anaplastic) : 빨리 분화되고 정상 세포와 유사점이 거의 또는 전혀 없는 암세포를 묘사하는데 사용되는 용어.
- 염화 비닐(Vinyl chloride) : 플라스틱을 만드는데 사용되는 물질. 염화비닐에의 노출은 간, 뇌, 폐암의 위험을 증가시킬 수 있다; 임파종; 백혈병.
- 영상(imaging) : 몸 내부의 그림을 만들어내는 검사.
- 영양사(Dietitian) : 먹고 마시는 음식의 선택을 돕는 영양 측면에서 특별한 훈련을 받은 건강 전문가.
- 외과의(Surgeon) : 환자에게 수술함으로써 몸의 한 부분을 제거하거나 재건하는 의사.
- 원발성 종양(Primary tumor) : 원래의 종양
- 원시신경외배엽성 종양(primitive neuroectodermal tumor) : PNET. 뼈나 연조직을 만드는 암의 한 형태. 유잉육종(Ewing’s sarcoma)으로도 불린다.
- 위험 요소(Risk factor) : 질환을 발생시킬 기회가 증가되는 것. 암에 대한 위험 요소는 암 가족력, 담배 산출물, 어떤 음식, 방사선이나 암 원인 물질에의 노출, 어떤 유전자 변이를 포함한다.
- 임상 실험(Clinical trial) : 새로운 약물 치료나 다른 중재가 사람들에게 어떻게 작용하는지를 테스트하는 연구의 한 형태. 그러한 연구들은 질환의 가려내기(screening), 예방, 진단 또는 치료의 새로운 방법을 테스트한다. 클리닉 또는 다른 의학 학부에서 수행될 수 있다. 또한 임상 연구(clinical study)로 불린다.
- 입체정위장치를 이용한 생검(Stereotactic biopsy) : 종양 위치를 찾고 현미경 하 검사를 위한 조직의 제거를 안내하기 위해 컴퓨터와 3차원 스캐닝 기구를 사용하는 생검시술.
- 입체정위치를 이용한 방사선 요법(Stereotactic radiation therapy) : 두개골에 부착된 딱딱한 두부 프레임을 사용하는 방사선 치료 요법; 정상 뇌 조직에 주어지는 방사선의 양은 적은 반면 고용량 방사선이 두부 프레임에 있는 구멍을 통해 종양으로 투여된다.
- 작업치료사(Occupational therapist) : 일상생활이 가능하도록 가르치는 건강 전문가.
- 재발성 암(Recurrent cancer) : 종양이 사라진 후에 다시 생긴 암. 원래의(원발성) 종양과 같은 위치 또는 다른 위치에 생길 수 있다.
- 전신마취(General anesthesia) : 느낌이나 인식 소실을 초래하고 사람을 잠들게 하는 것.
- 절개(Incision) : 수술을 수행하기 위해 몸을 베는 것.
- 전이(Metastasis) : 암이 몸의 한 부분에서 다른 부분으로 퍼지는 것. 퍼진 세포에서 형성된 종양은 "속발성 종양(secondary tumors)"이라 하고 원발성(original (primary)) 종양과 유사한 세포를 갖는다.
- 전이의(Metastatic) : 몸의 한 부분에서 다른 부분으로 암이 퍼지는, 전이를 하는.
- 정신건강 상담자(Mental health counselor) : 감정적이고 개인적인 문제에 대하여 환자와 가족과 대화 나누고 결정을 내리는데 도움을 주는 전문가.
- 조직(Tissue) : 비슷하고 특별한 기능을 수행하기 위해 함께 작동하는 세포의 그룹이나 층.
- 종양 (Tumor) : 과도한 세포 분열로부터 초래된 조직의 비정상적인 덩어리. 양성(비암성)이거나 악성(암성)일 수 있다.
- 증상 관리(Symptom management) : 질병이나 그 치료와 관련된 문제를 줄이기 위해 주어지는 간호. 증상관리는 암을 가진 사람들의 안위와 삶의 질을 개선시킨다.
- 지지적 간호(Supportive care) : 합병증을 예방, 조절 또는 줄이고 암을 가진 사람들의 안위와 삶의 질을 향상시키기 위해 주어지는 간호.
- 척수조영술(Myelogram) : 척수와 뇌 사이 공간으로 조영제를 주사한 후의 척수 엑스레이.
- 천공(Burr hole) : 수술용 드릴로 만들어진 두개골의 작은 구멍.
- 척추 천자(Spinal tap) :뇌척수액을 모으거나 약을 주기 위해 척추의 아래 부분으로 바늘을 넣는 시술.
- 침생검(needle biopsy) :미세현미경 하 검사를 위해 바늘로 조직이나 체액 제거.
- 캡슐에 싸인(Encapsulated) : 특이하고 국소화 된 범위에 한정되고 조직의 얇은 층에 의해 둘러싸인.
- 포름알데히드(Formaldehyde) : 제조와 화학공장에서, 그리고 해부학자, 방부 처리사, 병리학자에 의해 사용되는 화학물질. 포름알데히드에 노출되는 작업자들은 백혈병과 뇌종양의 높은 위험을 가질 수 있다.
- 핍지교세포종(Oligodendroglioma) : 신경자극을 보내는 세포에 지지와 영양을 공급하는 핍지교세포로 불리는 뇌 세포에서 시작하는 드물고 천천히 자라는 종양.
- 항경련제(Anticonvulsants) : 경련이나 경기를 예방, 감소, 또는 멈추게 하기 위한 약.
- 항생제(Antibiotic) : 세균과 다른 미생물에 의해 초래되는 감염을 치료하기 위해 사용되는 약.
- 항암화학요법(Chemotherapy) :항암약물로 치료하는 것.
- 혈관조영(Angiogram) : 혈관의 엑스레이; 엑스레이상 혈관의 윤곽을 알기 위해 조영제 주사를 맞기도 한다.
- CT 스캔(CT scan) : Computed tomography scan. 다른 각도로 보여지는 몸 내부의 자세한 그림의 연속; 그림이 엑스레이 기계와 연결된 컴퓨터에 의해 만들어진다. 또한 computerized tomography와 computerized axial tomography(CAT) scan으로 불린다.
- MRI : Magnetic resonance imaging. 자석이 몸 내부의 자세한 그림을 묘사하기 위해 사용되는 컴퓨터와 연결되는 기법.
